İstanbul’un En İyi 15 Saç Ekim Merkezi ve 2025 Saç Ekimi Paketleri
İstanbul’un En İyi 15 Saç Ekim Merkezi ve 2025 Saç Ekimi Paketleri Günümüzde, saç ekimi giderek daha popUncategorized @tr Haberleri
-
17 Mayıs, 18:10
Kemik İliği Ödemi Nedir, Tedavisi Nasıl Yapılır?
-
17 Mayıs, 18:08
Menüsküs Ağrısı Tedavisi
-
17 Mayıs, 18:03
Sedef Hastalığı Çeşitleri ve Tedavisi
-
17 Mayıs, 18:00
Tavuk Karası Nedir? Tedavisi
-
17 Mayıs, 17:54
Katarakt Ameliyatı Nedir? Katarakt Çeşitleri ve 2020 Tedavisi
-
15 Mayıs, 21:41
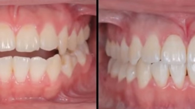
Telsiz Çarpık Diş Düzeltme Nasıl Yapılır?
-
13 Mayıs, 14:28
Uyku Apnesi Nedir, Ameliyatı Nasıl Yapılır?
-
11 Mayıs, 23:36
Labium Küçültme Estetiği Fiyatları
-
9 Mayıs, 23:17
Topuk Dikeni Belirtileri ve Karbonat İle Tedavisi